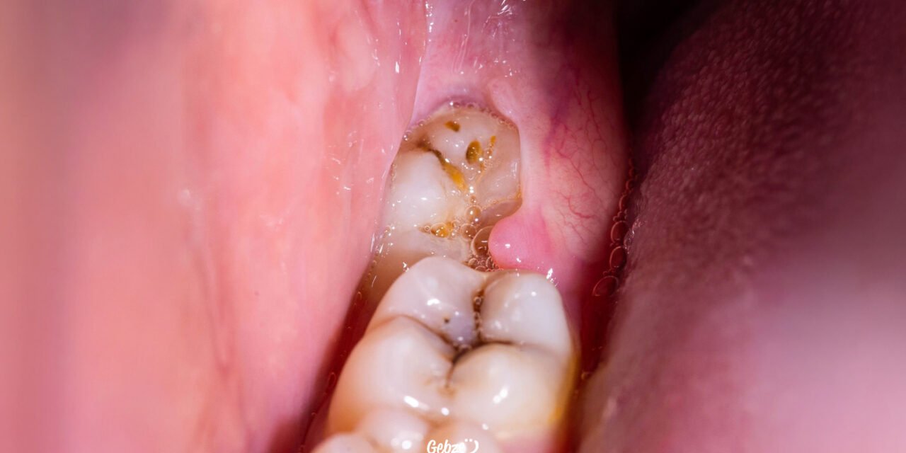
Diş İsimleri ve Görevleri Ağzımızdaki dişler, çoğu zaman sadece yemek yerken kullandığımız basit yapılar gibi görünür. Ama aslında onlar düşündüğümüzden çok daha fazlasını yapar. Her lokmayı öğütmekle kalmaz, konuşmamızı netleştirir, gülüşümüze karakter katar ve hatta yüz şeklimizin estetiğinde önemli bir rol oynar. Kısacası dişlerimiz, yaşam kalitemizi doğrudan etkileyen küçük ama hayati parçalarımızdır. Bir de ilginç...











