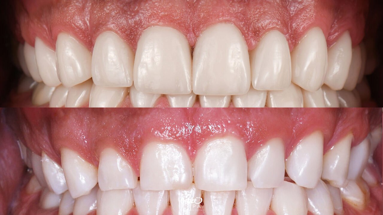
Gum Contouring
You look in the mirror and feel happy with the color of your teeth, their alignment seems fine too, yet there’s still something about your smile that doesn’t quite feel right. This feeling is more common than you might think, and in many cases, the reason isn’t the teeth themselves but the gums. Gums that are too visible, uneven, or that make the teeth appear shorter than they actually are can significantly affect the overall look of a smile. This is exactly where gum contouring, a treatment that has become increasingly popular in recent years, comes into play.
Gum contouring is not done solely to achieve a more attractive smile; it is also an important procedure that supports oral and dental health. Healthy, balanced gums that are in harmony with the teeth make a smile look brighter, more confident, and more natural. Moreover, this treatment is not just a “cosmetic” touch as many people assume. When planned correctly, it can also help prevent future gum problems. If you are wondering what that small but powerful difference in your smile might be, let’s take a closer look at what gum contouring is, who it is suitable for, and how it is performed.
What Is Gum Contouring?
Gum contouring is a procedure with both aesthetic and functional benefits, aimed at improving the harmony between the gums and the teeth. In some cases, the gums cover too much of the teeth, making them appear shorter than they really are. In other cases, the gums may recede, causing the teeth to look longer than normal. This imbalance can disrupt the natural look of the smile and, over time, lead to issues such as gum sensitivity, difficulty maintaining oral hygiene, and other oral health problems.

With gum contouring, the gums are reshaped to suit the structure of the teeth and the overall facial features. The goal is not only to achieve a more aesthetic smile, but also to create a healthier oral structure by restoring the balance between the teeth and gums. After the procedure, the smile appears more harmonious, the teeth look more proportionate, and the overall appearance becomes more natural. In short, although gum contouring may seem like a small adjustment, it is an important step that boosts confidence and supports long-term oral health.
Why Is Gum Contouring Done?
When gum contouring is mentioned, most people think of it purely as an aesthetic procedure. However, its purpose goes far beyond just improving the appearance of a smile. While aesthetic concerns are certainly an important motivation, there are many valid reasons related directly to oral and dental health.
One of the most common issues is excessive gum visibility when smiling. This can cause people to feel self-conscious and even avoid smiling altogether. In some individuals, the gums are asymmetrical, making one tooth appear longer while another looks shorter. Even though this imbalance may seem subtle, it can noticeably affect the overall harmony of the smile. Similarly, gums that cover too much of the teeth can make them appear smaller and shorter than they actually are.
An uneven appearance following gum recession is another reason why gum contouring is preferred. Additionally, preparing the gums to the ideal level before treatments such as crowns, veneers, or prosthetics is crucial for both aesthetic results and the longevity of the treatment. Correcting aesthetic losses that occur after gum disease is also one of the important health-related reasons for this procedure.
Who Can Have Gum Contouring?
Gum contouring is generally planned for adults whose dental and jaw development has been completed. Since gum levels can continue to change in children and young adolescents, achieving permanent and predictable results can be difficult. For this reason, the procedure is usually recommended for adult patients.
People with good overall oral and dental health are suitable candidates for gum contouring. The procedure tends to be much more successful in individuals who do not have active gum inflammation or untreated periodontal disease. Those who are unhappy with their smile, or who feel that the size of their teeth or the appearance of their gums affects their aesthetics, may also benefit from this treatment. It can be an especially effective complementary solution for people who experience gum irregularities even after completing orthodontic treatment.

However, it is important to emphasize one key point: if there is active gum inflammation, advanced periodontal disease, or bone loss, these issues must be treated first. Gum contouring should always be performed on a healthy foundation. When this solid base is established, it becomes possible to achieve results that are both aesthetically pleasing and healthy in the long term.
How Is Gum Contouring Performed?
Gum contouring is not a one-size-fits-all procedure. Different techniques can be used depending on the individual’s gum structure, the source of the problem, and personal expectations. For this reason, a detailed examination is carried out beforehand, and the most appropriate method is determined accordingly. The ultimate goal is always to achieve a result that looks both healthy and natural.
Laser Gum Contouring
Laser treatments are among the most commonly preferred methods today. Thanks to laser technology, the gums can be reshaped in a highly precise and controlled manner. Because surrounding tissues are minimally affected during the procedure, patient comfort is quite high. Minimal bleeding, a short procedure time, and a faster healing process are among the main advantages of laser treatment. The fact that stitches are usually not required also provides significant comfort for patients. This method is especially convenient for small to medium aesthetic adjustments.
Surgical Method (Gingivectomy)
In cases where there is more advanced gum overgrowth or when the underlying bone tissue also needs to be adjusted, surgical methods are used. This procedure, known as gingivectomy, is performed under local anesthesia and is usually completed in a single session. Although it may sound a bit intimidating at first, with proper planning and an experienced approach, it is a safe and highly effective treatment. It is preferred when a long-lasting and balanced gum line is desired.
Electrocautery Method
The electrocautery method is based on reshaping the gums using electrical current. While it is not as widely used as laser technology today, it can still be preferred in certain specific cases. It can be an effective alternative, especially when controlled intervention in particular areas is needed.
Regardless of the method used, gum contouring is always a personalized procedure. When the right technique is chosen, it is possible to achieve results that are both aesthetically satisfying and supportive of long-term oral health.

Is Gum Contouring Permanent?
The longevity of gum contouring results largely depends on how well oral and dental care is maintained after the procedure. When the treatment is properly planned, performed on healthy gums, and supported by good oral hygiene, the results can be preserved for many years.
However, gums are living tissues and can be affected by various external factors over time. Poor oral hygiene, recurring gum disease, teeth grinding, or improper brushing habits may cause the gums to become sensitive again or lose their shape. For this reason, regular dental check-ups and maintaining proper brushing and care routines after gum contouring are extremely important.


