Diş Eti Şekillendirme
Aynaya baktığınızda dişlerinizin rengi hoşunuza gidiyor, dizilimi de genel olarak iyi görünüyor ama gülüşünüzde hâlâ tam olarak içinize sinmeyen bir detay mı var? Birçok kişinin farkında olmadan yaşadığı bu hissin kaynağı çoğu zaman dişlerin kendisi değil, diş etleridir. Diş etlerinin fazla görünmesi, asimetrik olması ya da dişleri olduğundan kısa göstermesi, gülüşün genel estetiğini ciddi şekilde etkileyebilir. İşte bu noktada, son yıllarda adını sıkça duymaya başladığımız diş eti şekillendirme devreye giriyor.
Diş eti şekillendirme; sadece daha estetik bir gülüş elde etmek için değil, aynı zamanda ağız ve diş sağlığını desteklemek amacıyla da uygulanan önemli bir işlemdir. Sağlıklı, dengeli ve dişlerle uyumlu diş etleri, gülüşü daha canlı, daha özgüvenli ve daha doğal gösterir. Üstelik bu işlem, sanıldığı gibi yalnızca “kozmetik” bir dokunuş değildir; doğru planlandığında diş eti problemlerinin önüne geçilmesine de yardımcı olabilir. Eğer siz de gülüşünüzdeki o küçük ama etkili farkın ne olduğunu merak ediyorsanız, diş eti şekillendirmenin ne olduğu, kimler için uygun olduğu ve nasıl uygulandığına birlikte yakından bakalım.
Diş Eti Şekillendirme Nedir?
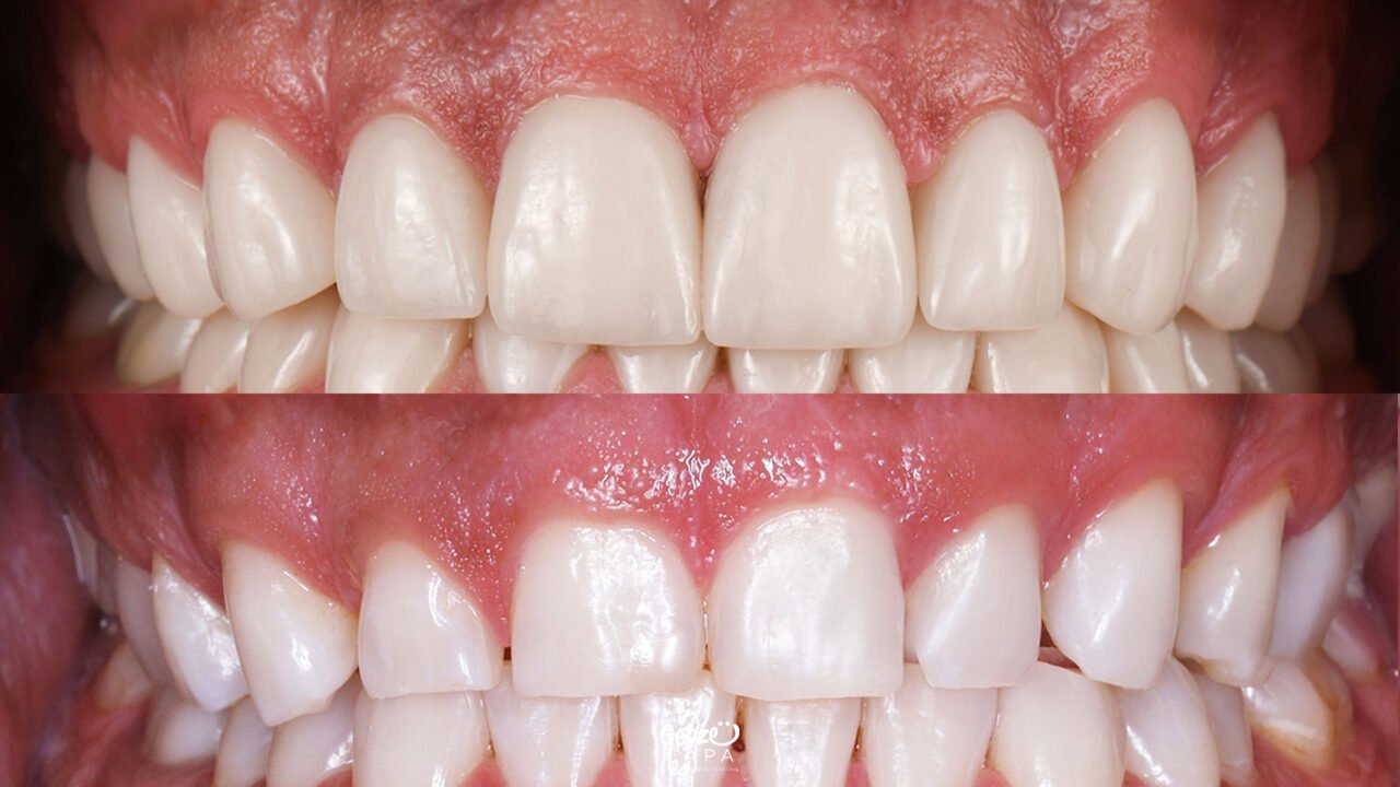
Diş eti şekillendirme, diş etlerinin dişlerle olan uyumunu yeniden düzenlemek için yapılan, hem estetik hem de fonksiyonel yönü olan bir uygulamadır. Bazen diş etleri dişlerin üzerini gereğinden fazla kaplar ve dişler olduğundan daha kısa görünür; bazen de tam tersi olur ve diş etleri geriye çekilerek dişleri normalden uzunmuş gibi gösterir. Bu dengesizlik, gülüşün doğallığını bozduğu gibi zamanla diş eti hassasiyeti, temizlik zorluğu ve farklı ağız sağlığı problemlerine de zemin hazırlayabilir.

Diş eti şekillendirme sayesinde diş etleri, dişlerin yapısına ve yüz hatlarına uygun bir forma getirilir. Amaç yalnızca daha estetik bir gülüş elde etmek değil; aynı zamanda diş-diş eti uyumunu sağlayarak daha sağlıklı bir ağız yapısı oluşturmaktır. İşlem sonrasında gülüş daha dengeli, dişler daha orantılı ve genel görünüm daha doğal hale gelir. Kısacası diş eti şekillendirme, küçük bir dokunuş gibi görünse de hem özgüveni artıran hem de ağız sağlığını uzun vadede destekleyen önemli bir adımdır.
Diş Eti Şekillendirme Neden Yapılır?
Diş eti şekillendirme denildiğinde çoğu kişinin aklına ilk olarak estetik bir müdahale gelir. Oysa bu işlemin amacı yalnızca daha güzel bir gülüş elde etmek değildir. Estetik beklentiler elbette önemli bir etkendir; ancak diş eti şekillendirmenin arkasında, ağız ve diş sağlığını doğrudan ilgilendiren pek çok haklı neden bulunur.
En sık karşılaşılan durumlardan biri, gülümserken diş etlerinin normalden fazla görünmesidir. Bu durum, kişinin gülüşünü saklamasına ve özgüven kaybına yol açabilir. Bazı kişilerde ise diş etleri simetrik değildir; bir diş daha uzun görünürken diğeri daha kısa kalabilir. Bu dengesizlik, fark edilmesi zor gibi görünse de gülüşün bütününde rahatsız edici bir etki yaratır. Aynı şekilde diş etlerinin dişleri fazla örtmesi, dişlerin olduğundan küçük ve kısa algılanmasına neden olabilir.
Diş eti çekilmesi sonrasında oluşan düzensiz görüntü de diş eti şekillendirmenin tercih edilme sebeplerinden biridir. Ayrıca kaplama, lamina ya da protez gibi işlemler öncesinde diş etlerinin ideal seviyeye getirilmesi, hem estetik hem de tedavinin uzun ömürlü olması açısından büyük önem taşır. Diş eti hastalıkları sonrasında ortaya çıkan estetik kayıpların düzeltilmesi de bu uygulamanın sağlıkla ilişkili yönlerinden biridir.
Kimler Diş Eti Şekillendirme Yaptırabilir?
Diş eti şekillendirme genellikle diş ve çene gelişimini tamamlamış yetişkin bireyler için planlanan bir işlemdir. Çünkü büyüme süreci devam eden çocuklarda ve genç ergenlerde diş eti seviyesi zamanla değişebileceği için kalıcı ve sağlıklı sonuçlar elde etmek her zaman mümkün olmaz. Bu nedenle işlem, çoğunlukla yetişkin hastalara önerilir.
Genel ağız ve diş sağlığı iyi olan kişiler diş eti şekillendirme için uygun adaylar arasında yer alır. Aktif bir diş eti iltihabı bulunmayan, tedavi edilmemiş diş eti hastalığı olmayan bireylerde işlem çok daha başarılı sonuçlar verir. Gülüşünden memnun olmayan, dişlerinin boyutunu ya da diş etlerinin görünümünü estetik açıdan problemli bulan kişiler de bu uygulamadan fayda görebilir. Özellikle ortodontik tedavi sonrasında dişler düzgün sıralansa bile diş etlerinde uyumsuzluk oluşan kişiler için diş eti şekillendirme etkili bir tamamlayıcı çözüm olabilir.

Ancak burada önemli bir noktanın altını çizmek gerekir: Eğer ağızda aktif bir diş eti iltihabı, ileri seviyede diş eti hastalığı ya da kemik kaybı söz konusuysa, öncelikle bu problemlerin tedavi edilmesi şarttır. Diş eti şekillendirme her zaman sağlıklı bir ağız yapısı üzerinde yapılmalıdır. Sağlam bir zemin oluşturulduğunda, hem estetik hem de uzun vadede sağlıklı sonuçlar elde etmek mümkün olur.
Diş Eti Şekillendirme Nasıl Yapılır?
Diş eti şekillendirme, tek tip bir işlem değildir; kişinin diş eti yapısına, problemin nedenine ve beklentilerine göre farklı yöntemlerle uygulanabilir. Bu yüzden işlem öncesinde detaylı bir muayene yapılır ve hangi tekniğin en uygun olacağı buna göre belirlenir. Amaç her zaman hem sağlıklı hem de doğal görünen bir sonuç elde etmektir.
Lazerle Diş Eti Şekillendirme
Günümüzde en sık tercih edilen yöntemlerin başında lazer uygulamaları gelir. Lazer teknolojisi sayesinde diş etleri son derece kontrollü ve hassas bir şekilde şekillendirilebilir. İşlem sırasında çevre dokulara minimum zarar verildiği için hasta konforu oldukça yüksektir. Kanamanın çok az olması, işlemin kısa sürede tamamlanması ve iyileşme sürecinin hızlı ilerlemesi lazerin en önemli avantajları arasındadır. Ayrıca dikiş gerektirmemesi de hastalar için büyük bir rahatlık sağlar. Özellikle estetik amaçlı küçük ve orta ölçekli düzeltmelerde lazer yöntemi oldukça konforlu bir seçenektir.
Cerrahi Yöntem (Gingivektomi)
Diş eti fazlalığının daha ileri seviyede olduğu ya da yalnızca diş eti değil, alttaki kemik dokusunun da düzenlenmesi gerektiği durumlarda cerrahi yöntemler devreye girer. Gingivektomi olarak adlandırılan bu işlem, lokal anestezi altında yapılır ve genellikle tek seansta tamamlanır. İlk etapta kulağa biraz ürkütücü gelse de doğru planlama ve deneyimli bir uygulama ile oldukça güvenli ve etkili sonuçlar elde edilebilir. Bu yöntem, kalıcı ve dengeli bir diş eti hattı oluşturmak için tercih edilir.
Elektrokoter Yöntemi
Elektrokoter yöntemi, elektrik akımı yardımıyla diş etinin şekillendirilmesi esasına dayanır. Günümüzde lazer teknolojisi kadar yaygın kullanılmasa da bazı özel durumlarda hâlâ tercih edilebilir. Özellikle belirli bölgelerde kontrollü müdahale gerektiğinde etkili bir alternatif olabilir.
Hangi yöntem uygulanırsa uygulansın, diş eti şekillendirme kişiye özel planlanan bir işlemdir. Doğru teknik seçildiğinde hem estetik açıdan tatmin edici hem de ağız sağlığını destekleyen sonuçlar elde etmek mümkündür.

Diş Eti Şekillendirme Kalıcı mıdır?
Diş eti şekillendirmenin ne kadar kalıcı olacağı, büyük ölçüde işlem sonrasında ağız ve diş sağlığına ne kadar özen gösterildiğiyle ilgilidir. İşlem doğru planlanıp sağlıklı bir diş eti üzerinde uygulandığında ve sonrasında düzenli ağız bakımı ihmal edilmediğinde, elde edilen sonuçlar uzun yıllar boyunca korunabilir.
Ancak diş etleri yaşayan dokulardır ve zamanla bazı dış etkenlerden etkilenebilir. Yetersiz ağız hijyeni, diş eti hastalıklarının yeniden ortaya çıkması, diş sıkma ya da yanlış fırçalama alışkanlıkları diş etlerinin tekrar hassaslaşmasına veya formunun bozulmasına yol açabilir. Bu nedenle diş eti şekillendirme sonrasında düzenli diş hekimi kontrollerine gitmek, doğru fırçalama ve bakım alışkanlıklarını sürdürmek büyük önem taşır.


